NA-MIC Project WeeksThe Imaging Data Commons is filled with imaging data, but idc-index and database searches only return textual data/metadata to LLMs. Modern LLMs have vision capabilities and can view selected images. I will complete a standalone non-interactive imaging utility that will give LLMs an image viewing capability for IDC data.
1 Prototype “idc-series-preview” is written but needs knowledgable eyes on the project. It also needs some features like annotations added. This project could well be done using fancy DICOM viewer code, but for right now Python works fine for the prototype. 1 During Project Week, I added annotations to the python module and made it into a Claude Skill.
Python module/skill: https://github.com/mhalle/idc-series-preview
Skill download: https://github.com/mhalle/idc-series-preview/releases/latest/download/idc-series-preview.skill
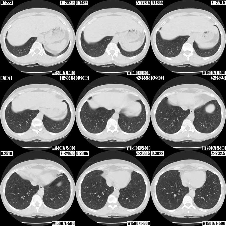
“Find the bottom of the lungs in an IDC NLST series”:

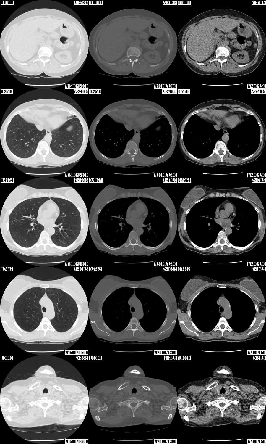
Contrast Mosaic:

No response